Cmv Enfeksiyonu Belirtileri ve Tedavisi
CMV enfeksiyonu, genellikle belirti vermeyen bir viral hastalıktır. Ancak bağışıklık sistemi zayıf bireylerde ciddi sağlık sorunlarına yol açabilir. Bu yazıda, CMV'nin belirtileri, tanısı ve tedavi yöntemleri hakkında bilgi verilmektedir. Ayrıca, enfeksiyonun önlenmesi için öneriler de sunulmaktadır.
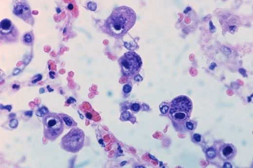
CMV Enfeksiyonu: Belirtileri ve TedavisiCytomegalovirus (CMV) enfeksiyonu, insanlarda sık görülen bir viral enfeksiyon olup, genellikle belirti vermeden seyreder. Ancak bağışıklık sistemi zayıf olan bireylerde ciddi sağlık sorunlarına yol açabilir. Bu makalede CMV enfeksiyonunun belirtileri, tanısı ve tedavi yöntemleri hakkında detaylı bilgi verilecektir. CMV Nedir? Cytomegalovirus, herpes virüs ailesine ait bir virüstür. CMV, insan vücudunda yaygın olarak bulunan bir virüs olup, çoğu insan bu virüsü yaşamları boyunca bir noktada kapar. Genellikle enfeksiyon, bağışıklık sistemi sağlıklı olan bireylerde belirti vermez ve kendiliğinden iyileşir. Ancak, bağışıklık sistemi zayıf olan bireylerde (örneğin, HIV/AIDS hastaları, organ nakli veya kemoterapi geçirenler) ciddi enfeksiyonlara yol açabilir. CMV Enfeksiyonunun Belirtileri CMV enfeksiyonunun belirtileri, kişinin bağışıklık durumu ve enfeksiyonun şiddetine bağlı olarak değişiklik gösterir. Sağlıklı bireylerde genellikle belirti görülmezken, bağışıklık sistemi zayıf olan bireylerde şu belirtiler ortaya çıkabilir:
CMV Enfeksiyonunun Tanısı CMV enfeksiyonu tanısı genellikle klinik belirtiler ve laboratuvar testleri ile konulur. Tanıda kullanılan başlıca yöntemler şunlardır:
CMV Enfeksiyonunun Tedavisi CMV enfeksiyonunun tedavisi, enfeksiyonun ciddiyetine ve hastanın genel sağlık durumuna bağlıdır. Tedavi seçenekleri şunlardır:
CMV Enfeksiyonunun Önlenmesi CMV enfeksiyonunun önlenmesi, özellikle bağışıklık sistemi zayıf olan bireyler için son derece önemlidir. Önleme yöntemleri arasında:
Sonuç Cytomegalovirus enfeksiyonu, genellikle belirti vermeden seyreden bir viral enfeksiyon olmasına rağmen, özellikle bağışıklık sistemi zayıf bireylerde ciddi sağlık sorunlarına yol açabilir. Erken tanı ve uygun tedavi yöntemleri ile CMV enfeksiyonunun etkileri minimize edilebilir. Sağlıklı bir yaşam tarzı benimsemek ve hijyen kurallarına uymak, CMV enfeksiyonunu önlemenin en etkili yollarıdır. |






































Kızım emes hastası ve cmv ve ebv virüs pozitif çıktı bu virüs ler nasıl geçer
CMV ve EBV Nedir?
CMV (Situs Sitomegalovirüsü) ve EBV (Epstein-Barr Virüsü) virüsleri, vücutta çeşitli enfeksiyonlara neden olabilen, özellikle bağışıklık sistemi zayıf bireylerde sorun yaratabilen virüslerdir.
Belirtiler ve Geçiş Süreci
Bu virüslerin her ikisi de genellikle hafif belirtilere neden olur. CMV enfeksiyonları, çoğu insan için belirgin bir sorun oluşturmazken, EBV daha çok mononükleoz olarak bilinen bir duruma yol açabilir. Her iki virüs de vücutta kalabilir ancak çoğu durumda bağışıklık sistemi virüsleri kontrol altında tutar.
Geçiş Yöntemleri
Virüslerin geçmesi, genellikle enfekte olan bir kişinin vücut sıvıları yoluyla olur. Bu, tükürük, kan veya diğer vücut sıvıları ile gerçekleşir.
Tedavi ve İyileşme Süreci
CMV ve EBV enfeksiyonları için spesifik bir tedavi çoğu zaman gerekmeyebilir. Vücut genellikle bu virüsleri kontrol eder ve zamanla enfeksiyonlar iyileşir. Bol sıvı alımı, dinlenme ve dengeli beslenme, iyileşme sürecine yardımcı olabilir. Ancak, kızıma özel bir tedavi veya destek gerekebileceğinden, doktorunuza danışmanız önemli olacaktır.
CMV enfeksiyonunun belirtileri nelerdir? Özellikle bağışıklık sistemi zayıf olan kişilerde bu belirtiler nasıl ortaya çıkar?
Merhaba Eyüpensar,
CMV (Sitomegalovirüs) enfeksiyonu genellikle sağlıklı bireylerde belirgin semptomlara yol açmaz veya hafif soğuk algınlığı benzeri belirtilerle seyreder. Ancak bağışıklık sistemi zayıf olan kişilerde daha ciddi sorunlara neden olabilir. Bağışıklık sistemi zayıf olan bireylerde CMV enfeksiyonunun belirtileri arasında yüksek ateş, yorgunluk, kas ve eklem ağrıları, boğaz ağrısı ve lenf bezlerinde şişlik bulunabilir. Ayrıca, daha ciddi vakalarda göz, karaciğer, akciğer ve beyin gibi organlarda iltihaplanma görülebilir. Özellikle organ nakli yapılan hastalar ve HIV/AIDS hastaları gibi bağışıklık sistemi ciddi şekilde zayıf olan kişilerde bu belirtiler daha şiddetli olabilir. Sağlıklı günler dilerim.
Sevgiler,